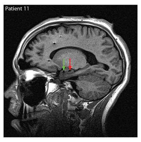
Evaluating another person's emotions based on facial expressions can sometimes be a complex task. As it turns out, this process isn't so easy for the brain to sort out either. Building on previous studies targeting the amygdala, a region in the brain known to be important for the processing of emotional reactions, a team of researchers from Caltech, Cedars-Sinai Medical Center, and Huntington Memorial Hospital in Pasadena, have found that some brain cells recognize emotions based on the viewer's preconceptions rather than the true emotion being expressed. In other words, it's possible for the brain to be biased. The team was able to record these responses from single neurons using existing electrodes—indicated by the arrows in the MRI image at right—placed in the brains of patients who were being treated for epilepsy. Participants were shown images of partially obscured faces showing either happiness or fear (see secondary image) and were asked to guess the emotion being shown. According to the researchers, the brain responded similarly whether or not the patient guessed the correct emotion.
"These are very exciting findings suggesting that the amygdala doesn't just respond to what we see out there in the world, but rather to what we imagine or believe about the world," says Ralph Adolphs, the Bren Professor of Psychology and Neuroscience at Caltech and coauthor of a paper that discusses the team's study. "It's particularly interesting because the amygdala has been linked to so many psychiatric diseases, ranging from anxiety to depression to autism. All of those diseases are about experiences happening in the minds of the patients, rather than objective facts about the world that everyone shares."
What's next? Says Shuo Wang, a postdoctoral fellow at Caltech and first author of the paper, "Of course, the amygdala doesn't accomplish anything by itself. What we need to know next is what happens elsewhere in the brain, so we need to record not only from the amygdala, but also from other brain regions with which the amygdala is connected."
The paper, which also included Caltech postdoctoral scholar Oana Tudusciuc, was published on June 30 in the Early Edition of the Proceedings of the National Academy of Science.



