skip to main content
For Counselors
Request Information
Contact Us
Undergraduate Admissions
Why Caltech
Open Why Caltech submenu
Academics
Open Academics submenu
Core Curriculum
The First Year
Majors & Minors
Cross Registration
Academic Advising
Research
Open Research submenu
Undergraduate Research
Entrepreneurship
Student Life
Open Student Life submenu
Honor Code
Traditions & Pranks
Housing
Dining
Clubs & Activities
Study Abroad
Our Commitment to Diversity
Open Our Commitment to Diversity submenu
Diversity in STEM
Life After Caltech
About Caltech
Apply
Open Apply submenu
Preparing for Caltech
Open Preparing for Caltech submenu
Summer Preparation
Academic Preparation
Demonstrating STEM Preparedness
Selecting High School Courses
First-Generation Applicants
General Advice
What We Look For
Open What We Look For submenu
How We Review
Faculty & the Admissions Process
Class Profile
First-Year Applicants
Open First-Year Applicants submenu
Application Requirements
Deadlines
Academic Requirements for First-Year Applicants
Supplemental Application Essays
Application Fee & Waiver
Standardized Tests
Letters of Recommendation
Supplemental Materials
Verification of STEM Activities and Awards
International Applicants
Homeschooled Applicants
Admissions Release Time Riddles
Transfer Applicants
Open Transfer Applicants submenu
Transfer Deadlines
Application Requirements
Application Fee & Waiver
Entrance Exams & Academic Preparation
FAQ
Supplemental Application Essays
International Applicants
3/2 Program
Open 3/2 Program submenu
Application & Requirements
Supplemental Application Essays
FAQ
QuestBridge
Small Town and Rural Applicants
Global Student Haven Initiative
For Counselors
Afford
Visit & Connect
Open Visit & Connect submenu
Visit Campus
Open Visit Campus submenu
Fall Fly-in Program: Caltech Up Close
Caltech Cosmos: Exploring the Universe of STEM
Caltech Summer Preview: Women in STEM
Connect Virtually
Message from the Dean of Admissions
Regional Admissions Counselors
Contact Us
Explore More
Open Explore More submenu
Student & Alumni Stories
Open Student & Alumni Stories submenu
A new home, close to home
A force for change
Epic fail, better recovery
From telescopes in Sweden to astrophysics in California
Thriving in STEM through community support
Excelling in chemistry research as an undergraduate
Building robots and mapping orbital trajectories
Creating a Community for Black Students
Exploring space as a computer science major
Student Blog
News
Search
Search
Menu
Close
Why Caltech
Open Why Caltech submenu
Apply
Open Apply submenu
Afford
Visit & Connect
Open Visit & Connect submenu
Explore More
Open Explore More submenu
For Counselors
Request Information
Contact Us
Why Caltech
Back
Academics
Core Curriculum
The First Year
Majors & Minors
Cross Registration
Academic Advising
Research
Undergraduate Research
Entrepreneurship
Student Life
Honor Code
Traditions & Pranks
Housing
Dining
Clubs & Activities
Study Abroad
Our Commitment to Diversity
Diversity in STEM
Life After Caltech
About Caltech
Apply
Back
Preparing for Caltech
Summer Preparation
Academic Preparation
Demonstrating STEM Preparedness
Selecting High School Courses
First-Generation Applicants
General Advice
What We Look For
How We Review
Faculty & the Admissions Process
Class Profile
First-Year Applicants
Application Requirements
Deadlines
Academic Requirements for First-Year Applicants
Supplemental Application Essays
Application Fee & Waiver
Standardized Tests
Letters of Recommendation
Supplemental Materials
Verification of STEM Activities and Awards
International Applicants
Homeschooled Applicants
Admissions Release Time Riddles
Transfer Applicants
Transfer Deadlines
Application Requirements
Application Fee & Waiver
Entrance Exams & Academic Preparation
FAQ
Supplemental Application Essays
International Applicants
3/2 Program
Application & Requirements
Supplemental Application Essays
FAQ
QuestBridge
Small Town and Rural Applicants
Global Student Haven Initiative
For Counselors
Visit & Connect
Back
Visit Campus
Fall Fly-in Program: Caltech Up Close
Caltech Cosmos: Exploring the Universe of STEM
Caltech Summer Preview: Women in STEM
Connect Virtually
Message from the Dean of Admissions
Regional Admissions Counselors
Contact Us
Explore More
Back
Student & Alumni Stories
A new home, close to home
A force for change
Epic fail, better recovery
From telescopes in Sweden to astrophysics in California
Thriving in STEM through community support
Excelling in chemistry research as an undergraduate
Building robots and mapping orbital trajectories
Creating a Community for Black Students
Exploring space as a computer science major
Student Blog
News
Search
Search
Search
Close
Search
Categories
campus life
research news
Year
Search
Search Results
By Date
By Relevance
April 6, 2020
An Invisible Threat
March 2, 2020
Super Tuesday in California: Voting Expert Explains What to Expect at the Polls
February 18, 2020
A Mingling of Computational and Economic Ideas
February 10, 2020
Hidden Donors Play Significant Role in Political Campaigns
January 16, 2020
Should You Take the Bet?
January 13, 2020
From the
Break Through
Campaign: Mathematician in Motion
January 8, 2020
AI for #MeToo: Training Algorithms to Spot Online Trolls
January 8, 2020
From the
Break Through
Campaign: What Makes Up a Mind
January 7, 2020
Making a Better Match
December 19, 2019
Decade of Discovery
November 22, 2019
Balancing the Forces of the Market
November 19, 2019
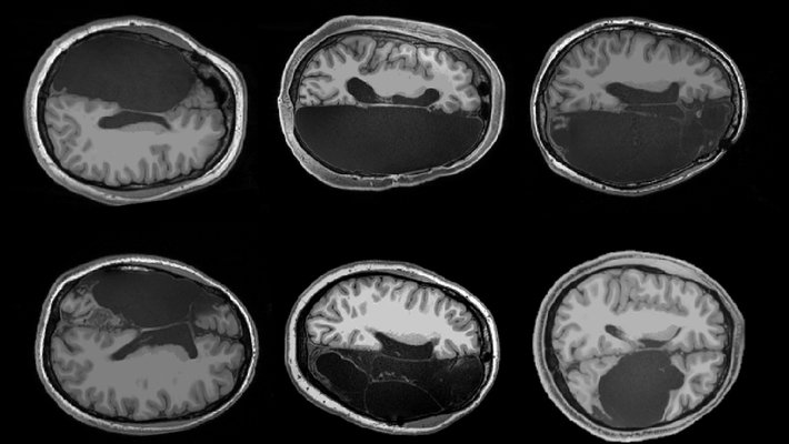
Patients Missing One Brain Hemisphere Show Surprisingly Intact Neural Connections
〈〈
〈-
5
6
7
8
9
-〉
〉〉
Video Lightbox